| Kontakt: pzh@pzh.gov.pl

LUDZKA ANAPLAZMOZA GRANULOCYTARNA - DEFINICJA

Ostra bakteryjna choroba gorączkowa, antropozoonoza wywołana przez bakterie Anaplasma phagocytophilum

PRZENOSZENIE

Decydującą rolę w przenoszeniu odgrywają kleszcze z rodzaju Amblyomma i Ixodes. Głównym rezerwuarem i właściwym gospodarzem są dzikie zwierzęta kopytne – sarny, jelenie i gryzonie. Zwierzęta kopytne mają duży wpływ na rozpowszechnienie, gdyż są głównymi naturalnymi żywicielami kleszczy z rodzaju Ixodes. Ptaki nie są rezerwuarem zakażenia, ale mogą odgrywać znaczącą rolę w rozprzestrzenianiu się, przenosząc na duże odległości zakażone kleszcze. Najwięcej zachorowań przypada na okres maj – lipciec, a najczęstszym wektorem zakażenia są nimfy, rzadziej dorosłe kleszcze. Do zakażenia człowieka dochodzi przez skórę, podczas żerowania kleszcza.

OBJAWY

Bakterie Anaplasma phagocytophilum umiejscawiają się w granulocytach obojętnochłonnych tworząc tzw. morule. Przebieg ludzkiej anaplazmozy granulocytarnej może mieć przebieg łagodny (duży odsetek zakażeń bezobjawowych). W przypadkach objawowych pojawiają się:

⦁             gorączka
⦁             poty
⦁             bóle głowy
⦁             brak apetytu
⦁             nudności, wymioty
⦁             osłabienie
⦁             bóle mięśniowe i stawowe
⦁             zmiany skórne
⦁             kaszel

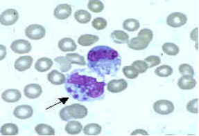
LUDZKA ANAPLAZMOZA GRANULOCYTARNA

(Ilustracja) Morule w rozmazie krwi obwodowej. Źródło CDC      

Zakażenie może mieć też ciężki przebieg, kończący się śmiercią szczególnie u osób starszych lub z osłabioną odpornością.

DIAGNOSTYKA

W ramach diagnostyki wykonuje się badania serologiczne wykrywające swoiste przeciwciała lub wykrywanie DNA metodą PCR.

Diagnostyka opiera się także na stwierdzeniu obecności w leukocytach pacjentów wtrętów – moruli,  leukopenii, trombocytopenii, podwyższeniu stężenia białka C-reaktywnego i aktywności aminotransferaz. Istotną rolę w wywiadzie lekarskim odgrywa informacja o ukłuciu przez kleszcza.

LECZENIE

Antybiotykoterapia

ZAPOBIEGANIE

Najlepszą metodą prewencji przed chorobami odkleszczowymi jest unikanie kontaktu z kleszczami, a w przypadku ukąszenia szybkie i prawidłowe usunięcie go ze skóry. Niewłaściwe usuwanie ze skóry pasożyta może skończyć się jego zmiażdżeniem lub sprowokowaniem wymiotów, co z kolei przyczynia się do narażenia na chorobotwórcze patogeny. Pokrycie kleszcza tłuszczem zatyka jego tchawki i jednocześnie wywołuje stres prowokując wymioty, stwarzając niebezpieczeństwo rozprzestrzenienia się wirusów i innych patogenów. Przy usuwaniu pasożyta najlepiej używać pęsety, którą należy uchwycić kleszcza jak najbliżej skóry i zdecydowanym ruchem pociągnąć w górę. Jeśli fragmenty ciała pasożyta pozostały w skórze trzeba je niezwłocznie usunąć a miejsce po ukąszeniu przemyć spirytusem. Wszelkie problemy należy skonsultować z lekarzem.

Przejdź do treści